Dean Ornish, M.D., and his colleagues at the non-profit Preventive Medicine Research Institute in collaboration with Harvard Medical School, the University of California, San Francisco and other leading academic institutions, have conducted a series of research studies scientifically proven in peer-reviewed randomized trials to prevent and often even reverse the progression of the most common and costly chronic diseases such as heart disease. This includes significantly improving cognition and function in many patients with early-stage Alzheimer's disease. This lifestyle medicine program is described in the book UnDo It, by Dean Ornish, M.D. and Anne Ornish.
Dean Ornish, M.D., and his colleagues at the non-profit Preventive Medicine Research Institute in collaboration with Harvard Medical School, the University of California, San Francisco and other leading academic institutions, have conducted a series of research studies scientifically proven in peer-reviewed randomized trials to prevent and often even reverse the progression of the most common and costly chronic diseases such as heart disease. This includes significantly improving cognition and function in many patients with early-stage Alzheimer's disease. This lifestyle medicine program is described in the book UnDo It, by Dean Ornish, M.D. and Anne Ornish.
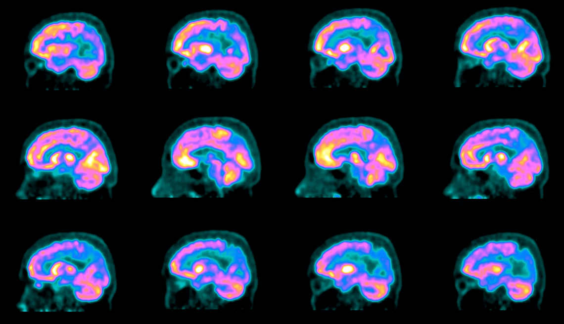
improved cognition & function
increase in exercise capacity
reduced angina by 9 weeks
improvement in blood flow to the heart
For the first time, a randomized, controlled, peer-reviewed clinical trial demonstrated that an intensive lifestyle intervention (without drugs) may significantly improve cognition and function in many patients with mild cognitive impairment or early dementia due to Alzheimer’s disease.
A plant-based way of eating that is high in fruits, vegetables, whole grains, and legumes and naturally low in fat, refined carbs and sugar.
Thirty minutes a day of moderate cardio activity and strength training is associated with more vitality while lessening anxiety and depression.
Techniques such as meditation, stretching, breathing, and imagery empower individuals to relax, release stress and react in healthier ways.
People with strong psychosocial support networks are likelier to have a higher quality of life over longer lifespans.
Tammy
Alzheimer's Disease“
A deep sense of identity is returning, like an older yet better version of myself has returned
We have several small businesses, and I used to do all of the books for them, but then I stopped these past few years when it became too frustrating and confusing. However, this year, I could organize them all again, and I even took it a step further and reconciled all the spreadsheets. It was absolute jubilation, given it had been 4 or 5 years since I had been involved to that degree again. It's like a new lease on life.
Dan
Alzheimer’s Disease“
I had worth again. Something important to me was given back.
I’d played these tunes hundreds of times, but after being diagnosed with Alzheimer’s, I kept messing up. I had a hard time remembering, I’d get confused, and it was such an unpleasant experience that I put the bagpipes down for good. Now, I can remember. One day a couple of weeks ago when I had the drones in tune, I was out on the front porch playing for two hours, it was so beautiful, feeling joy. It was so nice to be able to do that again!
Allen
Heart Disease“
The results were beyond my wildest imagination.
I’ve seen a reduction in my A1c, so I’m no longer diabetic. I’ve also seen a reduction in my blood pressure and asthma, and I eliminated my acid reflux and COPD. I even lost close to 30 pounds!
Jennifer
Heart Disease“
I've had tremendous results.
I wouldn’t have been able to do it if it hadn’t been a virtual program from the comfort of my home. The first thing I noticed was that my blood pressure stabilized. For years I had a lot of pressure in my chest (angina), and yet ever since 3 or 4 weeks of starting the program, it has been completely alleviated; that was a huge thing!
Jim
Heart Disease“
You get a whole new perspective on life once you’re given a second chance like I have.
I’ve lost over 30 pounds; I feel great! I don’t have angina or the constant fear of having a cardiac event anymore. My whole life has changed for the better and I’m going to keep it that way.
With better clinical outcomes, larger cost savings, bigger changes in lifestyle, and higher adherence and engagement, lifestyle medicine is reimbursed by Blue Shield of California, Medicare, Aetna, and many other commercial payers.
Press Release with Blue Shield of CaliforniaReimbursement

Medicare

Blue Shield of California

Aetna
Join our list to receive sample recipes, our latest research and related resources!